• Research Article
  • |
  • Open Access

Outcome Comparison of Arthroereisis and Lateral Column Lengthening Osteotomy Following Tarsal Coalition Resection in Adolescent Population

  • Michael Zaidman, MD, PhD*;
    • Pediatric Orthopedics, Hadassah Hebrew University Medical Center, Jerusalem, Israel.
  • Naum Simanovsky, MD;
    • Pediatric Orthopedics, Hadassah Hebrew University Medical Center, Jerusalem, Israel.
  • Vladimir Goldman, MD;
    • Pediatric Orthopedics, Hadassah Hebrew University Medical Center, Jerusalem, Israel.
  • Anas Mustafa, MD;
    • Pediatric Orthopedics, Hadassah Hebrew University Medical Center, Jerusalem, Israel.
  • Tareq Shrabaty, MD;
    • Pediatric Orthopedics, Hadassah Hebrew University Medical Center, Jerusalem, Israel.
  • Amir Haze, MD;
    • Pediatric Orthopedics, Hadassah Hebrew University Medical Center, Jerusalem, Israel.
  • Yechiel Gellman, MD;
    • Pediatric Orthopedics, Hadassah Hebrew University Medical Center, Jerusalem, Israel.
  • Eden Weisstub
    • Pediatric Orthopedics, Hadassah Hebrew University Medical Center, Jerusalem, Israel.
  • Corresponding Author(s): Michael Zaidman

  • Department of Orthopedic Surgery, Pediatric Orthopedic Unit, Hadassah Medical Center P.O. Box 12000, Jerusalem-9112, Israel.
    Tel: +972-2-6779564, Fax: +972-2-6779115;

  • orthmz@gmail.com

  • Zaidman M (2025).

  • This Article is distributed under the terms of Creative Commons Attribution 4.0 International License

Received : Oct 01, 2025
Accepted : Oct 31, 2025
Published Online : Online: Nov 07, 2025
Journal : Annals of Pediatrics
Publisher : MedDocs Publishers LLC
Online edition : http://meddocsonline.org

Cite this article: Zaidman M, Simanovsky N, Goldman V, Mustafa A, Shrabaty T, et al. Outcome Comparison of Arthroereisis and Lateral Column Lengthening Osteotomy Following Tarsal Coalition Resection in Adolescent Population. Ann Pediatr. 2025; 8(2): 1161.

Abstract

Introduction: Tarsal coalition is a common cause of rigid flatfoot in children and adolescents. Isolated resection of the coalition (RC) may not adequately relieve symptoms or correct hindfoot deformities. Adjunctive procedures, such as lateral column lengthening osteotomy (CLO) and arthroereisis, are often employed to improve alignment and functional outcomes. However, comparative data on these two approaches in the setting of RC are limited.

Methods: This retrospective study included 33 patients (45 feet) treated for symptomatic rigid flatfoot due to tarsal coalition between 2017 and 2024. Patients underwent RC with either arthroereisis (12 patients, 18 feet, aged 10–12 years) or CLO (21 patients, 27 feet, 11-17 years). Pre- and postoperative evaluations included Meary’s angle, calcaneal pitch, talonavicular coverage angle, and American Orthopedic Foot and Ankle Society (AOFAS) Ankle Hindfoot Score. Radiographic and clinical improvements were analyzed and compared between the two groups.

Results: Both groups demonstrated significant improvements in all radiographic and clinical parameters (p< 0.0001). Arthroereisis provided greater correction of Meary’s angle (13.2° vs. 9.8°, p<0.01), while CLO yielded superior improvement in the talonavicular coverage angle (19.5° vs. 14.1°, p<0.01). AOFAS scores improved similarly in both groups (arthroereisis: +35.1; CLO: +32.2; p=0.14). No major complications or reoperations were observed in either cohort.

Conclusion: Arthroereisis and CLO are effective adjuncts to coalition resection for treating pediatric rigid flatfoot, yielding comparable clinical outcomes and radiographic correction. Given its minimally invasive nature, lower morbidity, and faster rehabilitation, arthroereisis may be preferable for younger children.

Keywords: Tarsal coalition; Lateral column lengthening osteotomy; Arthroereisis; Rigid flat foot; Pediatric population.

Introduction

Tarsal coalition is a well-recognized cause of symptomatic rigid flatfoot in adolescents [1–3]. In many cases, conservative treatment fails to provide sustained symptom relief, necessitating operative intervention [4,5]. Isolated resection of the coalition (RC) does not reliably ensure pain relief or correction of the associated deformity. Because hindfoot malalignment may itself contribute to symptoms, more recent approaches advocate not only RC but also simultaneous correction of coexisting foot deformities [6].

Among nonfusion surgical options in the pediatric population, calcaneal corrective osteotomies—most commonly Calcaneal Lengthening Osteotomy (CLO)—and arthroereisis are frequently employed [7–9]. Both techniques are well established for the treatment of flexible flatfoot, with demonstrated efficacy in deformity correction and predictable outcomes [7]. However, few studies have directly compared arthroereisis and CLO in the treatment of rigid flatfoot in adolescents.

The aim of this study was to compare the deformity correction potential and clinical outcomes of arthroereisis versus CLO performed in conjunction with tarsal RC in adolescent patients.

Patients and methods

Approval for the study was obtained from the Institutional Review Board. We retrospectively reviewed medical records, radiographs, and Computed Tomography (CT) scans of children who underwent operative treatment at our institution for painful flatfoot associated with symptomatic calcaneonavicular or talocalcaneal coalition between 2017 and 2024. Inclusion criteria were otherwise healthy patients aged 9 to 12 years for arthroereisis and up to 17 years for CLO, with no previous history of foot surgery and documented failure of conservative management. Conservative treatment included the use of soft shoe insoles with medial arch support, activity modification, nonsteroidal anti-inflammatory drugs, and/or immobilization with a short leg walking cast for 5 to 6 weeks. Exclusion criteria were patients older than 13 years for arthroereisis or older than 17 years for CLO, patients with any prior foot surgery, those with neuromuscular disorders, and those lacking adequate follow-up.

Demographic, clinical, and radiographic variables were systematically reviewed. Preoperative and postoperative evaluations included assessment of foot alignment, subtalar range of motion (ROM), the heel-rise test, the Silfverskiöld test, and standing anteroposterior and lateral radiographs. Subtalar ROM was additionally quantified under general anesthesia prior to surgery.

Radiographic evaluation of deformity correction included measurement of the calcaneal pitch angle (normal range, 18°–32°), Meary’s angle (normal range, –4° to +4°), and talonavicular coverage angle (normal, < 7°) [10,11]. Coalition was confirmed radiographically with CT (Figure 1). Hindfoot valgus was measured on coronal CT reformats, with a valgus angle greater than 16° considered the threshold beyond which isolated RC was not recommended [6,12,13].

Clinical outcomes were assessed using the American Orthopedic Foot and Ankle Society (AOFAS) Ankle-Hindfoot Score, classified as excellent (90–100 points), good (80–90 points), fair (70–80 points), or poor (< 70 points) [14]. Preoperative scores were compared with postoperative results in both groups. The magnitude of correction and clinical improvement was defined as the difference between preoperative and postoperative parameters and compared between groups.

Figure 1: CT scan conformation of talo-calcaneal coalition with hindfoot valgus.

Resection of coalition technique

RC was performed using established operative techniques [13,15,16]. A pneumatic tourniquet was applied, and intraoperative fluoroscopy with C-arm assistance was used. Particular attention was given to achieving complete resection of the coalition with restoration of subtalar motion at the conclusion of the procedure. To fill the residual defect after RC, structured fat harvested from the upper thigh was used, or, when substantial, a local fat pad from the sinus tarsi. Bone wax was routinely applied to the resected bone surfaces to reduce the risk of recurrence.

Calcaneal lengthening osteotomy technique

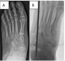
CLO was performed using the established surgical technique described by Mosca [17], (Figure 2A & B). At the conclusion of the procedure, a below-knee plaster of Paris splint was applied. At the first outpatient follow-up visit, 2 weeks postoperatively, the splint was converted to a circular plaster of Paris cast and maintained for an additional 4 weeks.

Figure 2: Pre-operative radiograph (A); Calcaneal lengthening osteotomy with corrected talo-navicular coverage (B).

Subtalar Arthroereisis Technique.

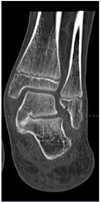
Subtalar arthroereisis is a well-established, extra-articular, minimally invasive surgical option for symptomatic pediatric flexible flatfoot. The most favorable outcomes have been reported in patients aged 9 to 12 years [7–9,18–22]. The procedure corrects excessive hindfoot eversion by stabilizing the subtalar joint in a more aligned position. Various techniques and implants for subtalar arthroereisis have been described. Implants are typically inserted into or adjacent to the sinus tarsi to prevent excessive hindfoot eversion [7–9,18–22]. In the present series, the preferred method involved insertion of a 6.5-mm cancellous bone screw (AO large-fragment set) near the anterolateral edge of the posterior facet of the subtalar joint, beneath the lateral process of the talus (Figure 3). This “calcaneo-stop” screw functions as a mechanical block, limiting hindfoot eversion and maintaining subtalar alignment. At the conclusion of surgery, a bulky soft dressing was applied. Weight bearing as tolerated and range-of-motion exercises were initiated on the first postoperative day.

Figure 3: Screw insertion under lateral process of talus.

All patients were discharged on the first postoperative day. The initial outpatient follow-up visit was scheduled 2 to 3 weeks after surgery, followed by subsequent evaluations at 6 weeks, 3 months, and 6 months.

Statistics

The t-Student’s test was applied for comparing quantitative variables. The Shapiro-Wilk test assessed the normality of data distribution. Statistical significance was set to 0.5% (p value <0.05. Statistical analyses were performed using IBM SPSS Statistics for Windows, Version 26.0, released in 2019 by IBM Corp., Armonk, NY, USA.

Results

A total of 21 patients (27 feet) underwent tarsal RC with CLO. The cohort included 13 boys and 8 girls, with a mean age of 13.5 years (range, 11–17 years) (Table 1). Coalition type was talocalcaneal in 24 feet and calcaneonavicular in 3 feet (Table 1). Twelve patients (18 feet) were treated with RC and arthroereisis. This group included 6 boys and 6 girls, with a mean age of 11.3 years (range, 10–12 years). Coalition type was calcaneonavicular in 12 feet (7 patients) and talonavicular in 6 feet (5 patients).

table 1 Table 1

Table 1: Demographical and clinical data.

CLO: Calcaneal lengthening osteotomy; TC: Talocalcaneal coalition; CN: Calcaneonavicular coalition.

The mean follow-up for the arthroereisis group was 38.2 months (range, 12–78 months). The mean preoperative talonavicular coverage angle was 19.2° (range, 8°–31°) compared with 5.1° (range, 0°–10°) postoperatively (p<.0001; Table 2). The mean calcaneal pitch angle improved from 8.3° (range, 0°–14°) preoperatively to 16.7° (range, 7°–26°) postoperatively (p<.0001). The mean Meary’s angle improved from –11.3° (range, –21° to –5°) preoperatively to 1.9° (range, –4° to 4°) postoperatively (p < .0001; (Figure 4 A, B). The mean AOFAS score increased from 57.2 (range, 47–67) preoperatively to 92.2 (range, 80–100) postoperatively (p<.0001). Clinical outcome according to the AOFAS score was rated excellent (90–100 points) in 14 of 18 feet and good (80–87 points) in 4 feet.

Figure 4: Corrected talo-navicular coverage, calcaneal pitch and Meary’s angle after calcaneal lengthening osteotomy (A,B) and arthroereisis (C,D).

The mean follow-up for the CLO group was 30.1 months (range, 14–69 months). The mean preoperative talonavicular coverage angle was 22.3° (range, 10°–32°) compared with 2.8° (range, 0°–9°) postoperatively (p<.0001; Table 3). The mean calcaneal pitch angle improved from 9.7° (range, 5°–16°) preoperatively to 20.4° (range, 14°–26°) postoperatively (p<.0001). The mean Meary’s angle improved from –5.6° (range, –15° to 0°) preoperatively to 4.2° (range, 0°–10°) postoperatively (p<.0001 (Figure 4 C, D). The mean AOFAS score increased from 60.4 (range, 55–72) preoperatively to 92.6 (range, 87–97) postoperatively (p<.0001). Clinical outcome according to the AOFAS score was rated excellent (90–100 points) in 25 feet and good (80–89 points) in 2 feet.

The magnitude of improvement in clinical and radiographic parameters was calculated as the difference between preoperative and postoperative values for both procedures (Table 4). The mean increase in AOFAS score was 35.1 points in the arthroereisis group compared with 32.2 points in the CLO group (p=.14). The calcaneal pitch angle improved by 8.4° in the arthroereisis group and by 10.7° in the CLO group (p=.07). The mean change in Meary’s angle was 13.8° after arthroereisis and 9.8° after CLO (p<.01). The talonavicular coverage angle improved by 19.5° in the CLO group and by 14.1° in the arthroereisis group (p<.01).

table 1 Table 2

Table 2: Pre-and postoperative clinical and radiographical data of arthroereisis following RC.

AOFAS score: Orthopedic foot and ankle society score; SD: Standard deviation.

table 1 Table 3

Table 3: Pre- and postoperative clinical and radiographical data of CLO following RC.

AOFAS score: Orthopedic foot and ankle society score. SD: Standard deviation.

table 4 Table 4

Table 4: Magnitude of clinical and radiographical parameters improvement (pre- postoperative difference) for CLO and arthroereisis following RC.

AOFAS score: orthopedic foot and ankle society score. SD: Standard deviation.

No patient in either group reported functional limitations in daily activities. No complications requiring reoperation or hospitalization occurred in this cohort.

Discussion

Nonoperative treatment of symptomatic TC rarely achieves durable improvement. Pain and deformity typically worsen as the coalition matures and ossifies. Subtalar restriction progresses, and the foot becomes increasingly stiff. With growth, greater mechanical stress on the deformed foot may induce adaptive changes in the subtalar and Chopart joints, ultimately leading to a painful spastic flatfoot, as described by Ghanem et al. [23] and Seringe et al. [24].

Isolated RC alone does not reliably provide pain relief or correct deformity. Because hindfoot malalignment itself can be a source of persistent symptoms, current strategies recommend combining RC with correction of coexisting deformity [6]. Among nonfusion surgical options, CLO and subtalar arthroereisis are the most widely used [7–9]. Both are established treatments for flexible flatfoot, with predictable outcomes and substantial deformity correction potential [7].

In our cohort, both arthroereisis and CLO achieved favorable and largely comparable radiographic correction and clinical improvement, with no complications requiring reoperation or hospitalization. AOFAS scores and calcaneal pitch angle improved significantly in both groups, with no significant differences. Meary’s angle correction was slightly greater after arthroereisis, whereas improvement in talonavicular coverage angle was more pronounced following CLO.

Few studies have directly compared these procedures. Our findings are consistent with those of Mousa et al, who were the first to report comparative results between arthroereisis and calcaneal corrective osteotomies. More recently, Kim et al studied 127 children (223 feet) treated flexible flat feet with CLO or calcaneo-stop, reporting significant radiographic and clinical improvement in both groups [25]. The calcaneo-stop procedure was associated with shorter immobilization and lower surgical invasiveness, whereas CLO provided stable correction without the need for implant removal [25]. Together with our findings, these data suggest that both techniques are effective, although their relative advantages may depend on patient age, deformity severity, and rehabilitation goals.

Arthroereisis offers several practical advantages over CLO. It requires shorter operative time, is minimally invasive (Figure 1), and avoids donor-site morbidity related to bone graft harvesting. The procedure is also reversible. Importantly, it permits immediate weight bearing and early range-of-motion exercises without cast immobilization, thereby shortening rehabilitation and supporting earlier reintegration into school and sports [25].

This study has limitations, including its relatively small sample size, retrospective design, and single-center setting, which may limit generalizability. Future prospective multicenter studies with larger cohorts and longer follow-up are needed to more clearly define the comparative efficacy, durability, and complication profiles of arthroereisis and CLO in adolescents with rigid flatfoot.

Conclusion

For symptomatic rigid flatfoot associated with tarsal coalition, combining RC with either arthroereisis or CLO results in normalization of radiographic parameters, significant clinical and functional improvement, and high patient satisfaction. Both procedures demonstrated low complication rates. Given its minimally invasive nature, shorter rehabilitation period, and reversibility, arthroereisis may be considered the preferred first-line adjunct to RC in patients aged 9 to 12 years.

Author declarations

Author contributions

Conceptualization: Michael Zaidman, Naum Simanovsky, Eden Weisstub; methodology: Michael Zaidman, Eden Weisstub, Naum Simanovsky, Tareq Shrabaty, Yechiel Gellman, Amir Haze, Anas Mustafa; validation: Michael Zaidman, Eden Weisstub, Naum Simanovsky, Amir Haze, Yechiel Gellman, Tareq Shrabaty, Vladimir Goldman, Anas Mustafa; formal analysis: Michael Zaidman; investigation: Michael Zaidman, Eden Weisstub, Naum Simanovsky, Vladimir Goldman, Tareq Shrabaty, Amir Haze, Yechiel Gellman, Anas Mustafa; data curation: Michael Zaidman, Eden Weisstub, Vladimir Goldman, Anas Mustafa; writing - original draft preparation: Michael Zaidman, Eden Weisstub; writing, review and editing: Michael Zaidman, Eden Weisstub, Naum Simanovsky, Vladimir Goldman, Yechiel Gellman, Amir Haze, Tareq Shrabaty, Anas Mustafa. The manuscript was read and approved by all authors.

Funding

No funding was received for conducting this study.

Conflict of interest

The authors have no relevant financial or non-financial interests to disclose.

Ethical approval

All procedures performed in the study were in accordance with the ethical standards of the institutional and national research committee and with the 1964 Helsinki declaration and its later amendments or comparable ethical standards. The study was approved by institutional review board (0074-25-HMO).

Informed consent

As no identifiable information appears in the process and publishing data, and in keeping with the policies for retrospective review, the informed consent was not required.

References

  1. Rühli FJ, Solomon LB, Henneberg M. High prevalence of tarsal coalition and tarsal joint variants in a recent cadaver sample and its possible significance. Clin Anat. 2003; 16: 411-415.
  2. Harris RI, Beath T. Etiology of spastic flat foot. J Bone Joint Surg Br. 1948; 30: 624-634.
  3. Leonard MA. The inheritance of tarsal coalition and its relationship to spastic flat foot. J Bone Joint Surg Br. 1974; 56: 520-526.
  4. Cowell HR, Elener V. Rigid painful flat foot secondary to tarsal coalition. Clin Orthop Relat Res. 1983; 177: 54-60.
  5. Olney BW, Asher MA. Excision of symptomatic coalition of the middle facet of the talocalcaneal joint. J Bone Joint Surg Am. 1987; 69: 539-544.
  6. Mosca VS, Bevan WP. Talocalcaneal tarsal coalitions and the calcaneal lengthening osteotomy: the role of deformity correction. J Bone Joint Surg Am. 2012; 94: 1584-1594.
  7. Chong DY, MacWilliams BA, Hennessey TA, Teske N, Stevens PM. Prospective comparison of subtalar arthroereisis with lateral column lengthening for painful flatfeet. J Pediatr Orthop B. 2015; 24: 345-353.
  8. Smith C, Zaidi R, Bhamra J, Bridgens A, Wek C, Kokkinakis M. Subtalar arthroereisis for the treatment of the symptomatic paediatric flexible pes planus: a systematic review. EFORT Open Rev. 2021; 6: 118-129.
  9. Metcalfe SA, Bowling FL, Reeves ND. Subtalar joint arthroereisis in the management of pediatric flexible flatfoot: a critical review of the literature. Foot Ankle Int. 2011; 32: 1127-1139.
  10. Vanderwilde R, Staheli LT, Chew DE, Malagon V. Measurements on radiographs of the foot in normal infants and children. J Bone Joint Surg Am. 1988; 70: 407-415.
  11. Sangeorzan BJ, Mosca V, Hansen ST Jr. Effect of calcaneal lengthening on relationships among the hindfoot, midfoot, and forefoot. Foot Ankle. 1993; 14: 136-141.
  12. Luhmann SJ, Schoenecker PL. Symptomatic talocalcaneal coalition resection: indications and results. J Pediatr Orthop. 1998; 18: 748-754.
  13. Scranton PE Jr. Treatment of symptomatic talocalcaneal coalition. J Bone Joint Surg Am. 1987; 69: 533-539.
  14. Kitaoka HB, Alexander IJ, Adelaar RS, et al. Clinical rating systems for the ankle-hindfoot, midfoot, hallux, and lesser toes. Foot Ankle Int. 1994; 15: 349-353.
  15. Wilde PH, Torode IP, Dickens DR, Cole WG. Resection for symptomatic talocalcaneal coalition. J Bone Joint Surg Br. 1994; 76: 797-801.
  16. Danielsson LG. Talocalcaneal coalition treated with resection. J Pediatr Orthop. 1987; 7: 513-517.
  17. Mosca VS. Principles and Management of Pediatric Foot and Ankle Deformities and Malformations. 1st ed. Philadelphia, PA: Lippincott Williams & Wilkins; 2014.
  18. Jerosch J, Schunck J, Abdel-Aziz H. The stop screw technique: a simple and reliable method in treating flexible flatfoot in children. Foot Ankle Surg. 2009; 15: 174-178.
  19. Pavone V, Costarella L, Testa G, Conte G, Riccioli M, Sessa G. Calcaneo-stop procedure in the treatment of juvenile symptomatic flatfoot. J Foot Ankle Surg. 2013; 52: 444-447.
  20. Richter M, Zech S. Arthrorisis with calcaneo-stop screw in children corrects talo-first metatarsal index (TMT-index). Foot Ankle Surg. 2013; 19: 91-95.
  21. De Pellegrin M, Moharamzadeh D, Strobl WM, et al. Subtalar extra-articular screw arthroereisis (SESA) for the treatment of flexible flatfoot in children. J Child Orthop. 2014; 8: 479-487.
  22. Martinelli N, Bianchi A, Martinkevich P, et al. Return to sport activities after subtalar arthroereisis for correction of pediatric flexible flatfoot. J Pediatr Orthop B. 2018; 27: 82-87.
  23. Ghanem I, Massaad A, Assi A, et al. Understanding the foot’s functional anatomy in physiological and pathological conditions: the calcaneopedal unit concept. J Child Orthop. 2019; 13: 134-146.
  24. Seringe R, Wicart P; French Society of Pediatric Orthopaedics. The talonavicular and subtalar joints: the “calcaneopedal unit” concept. Orthop Traumatol Surg Res. 2013; 99 Suppl: S345-S355.
  25. Kim B, Kim WS, Park Y, Park MS, Sung KH. Comparison between calcaneal lengthening osteotomy and calcaneo-stop procedure in the surgical treatment of idiopathic flatfoot in children: retrospective cohort study. Foot Ankle Int. 2025; 46: 587-597.

MedDocs Publishers

We always work towards offering the best to you. For any queries, please feel free to get in touch with us. Also you may post your valuable feedback after reading our journals, ebooks and after visiting our conferences.