• Case Report
  • |
  • Open Access

A Case of An Extra-Peritoneal Portion of the Round Ligament Endometriosis

  • Portia Cobbinah1;
    • 1Department of Gynecology, The First Affiliated Hospital of Wenzhou Medical University, Ouhai, Zhejiang, 325003, China.
  • ZhengZheng Shi1;
    • 1 Department of Gynecology, The First Affiliated Hospital of Wenzhou Medical University, Ouhai, Zhejiang, 325003, China.
  • Francis Oklah2;
    • 2 Ho Teaching Hospital, Ghana.
  • Lijiao Hou1;
    • 1 Department of Gynecology, The First Affiliated Hospital of Wenzhou Medical University, Ouhai, Zhejiang, 325003, China.
  • Corresponding Author(s): Lijiao Hou

  • Department of Gynecology, The First Affiliated Hospital of Wenzhou Medical University, Ouhai, Zhejiang, 325003, China.

  • 1057040195@qq.com

  • Hou L (2025).

  • This Article is distributed under the terms of Creative Commons Attribution 4.0 International License

Received : June 19, 2025
Accepted : July 04, 2025
Published Online : July 11, 2025
Journal : Annals of Obstetrics and Gynecology
Publisher : MedDocs Publishers LLC
Online edition : http://meddocsonline.org

Cite this article: Cobbinah P, Zheng Shi Z, Francis O, Lijiao H, A Case of An Extra-Peritoneal Portion of the Round Ligament Endometriosis. Ann Obstet Gynecol. 2025; 8(2): 1068.

Abstract

Objective: To present a diagnostic assessment and management approach for a round ligament endometriosis.

Results: The patient underwent en bloc excision of the cyst and laparoscopy removal of the bilateral ovarian chocolate cyst. The gynaecological assessment was normal.

Histopathology showing islands of the endometrial gland confirmed endometriosis of the right round ligaments of the uterus.

Capsule: The diagnosis and management of extra-pelvic portion round ligament endometriosis in a young infertile woman after two previous surgeries for endometriosis.

Conclusion: An extra-peritoneal part of the round ligament endometriosis is an extremely rare condition with limited data. Our patient, a 27-year-old with a 2-year history of infertility, was diagnosed with round ligament endometriosis and underwent an Oblique excision of the cyst in combination with laparoscopy to rule out an intraperitoneal involvement. The patient’s prognosis after surgery was good and conceived 3 months post-op with an IVF.

Keywords: Round ligament endometriosis; Fertility; IVF; Laparoscopy; Ultrasound.

Introduction

While the incidence of recurrence endometriosis differs concerning types and duration, a study done by Parazzini et al. [1] showed a 2-year recurrence rate for Stage I and II vs Stage III and IV as 5.7% and 14.3% In addition, a postoperative usage of GnRH agonists has been proven to slow the disease recurrence, as quoted by Vercellini et al. [2]. However, a study by Su Jin Kim et al. [3] revealed that there were no statistically significant risk factors for the recurrence of endometriosis outside the pelvic region, including postoperative medical treatment, as compared with endometrioma that occurs on the ovaries.

Extra-pelvic endometriosis occurs further from usual conventional sites such as a cesarean scar, umbilical and inguinal region. It’s also classified as an infrequent condition, making its diagnosis quite challenging for clinicians [4].

There are several types of extra-pelvic endometriosis, which include Abdominal wall endometriosis, scar endometriosis, umbilical endometriosis, Inguinal endometriosis, etc. Different types of extra-pelvic endometriosis have different pathogenesis.

The epidemiology of round ligament endometriosis is poorly understood due to the limited number of cases. Extra pelvic round ligament can occur at several locations including the skin, viscera, and groin thus, making it a disease of specific interest. Studies have shown that inguinal endometriosis propagated by the round ligament usually occurs at the right groin [6], which was the same as our case.

Case Report

A 27-year-old nulliparous with a 10-year history of dysmenorrhea and recurrent ovarian endometriosis presents to the outpatient department with an Ultrasound revealing a bilateral ovarian cyst. The patient complained of failure to naturally conceive for nine years after laparoscopic ovarian cystectomy, with histopathology results showing endometriosis in 2013 and 2016 separately. She asked for a third surgery before receiving an assisted reproduction. The ultrasound indicated an 80mm diameter bilateral ovarian mass and a high level of CA-125 and CA-199.To distinguish from ovarian cancers, the patient was further submitted to computed tomography, which also showed a bilateral ovarian cyst considered as endometriosis and an unexpected cyst penetrating the peritoneal cavity and groin, suspected as an endometriotic cyst. Under further questioning, the patient explained she discovered an asymptomatic pelvic mass for 1 year, which was occasionally tender and was more prominent when standing with no relationship to menstrual periods.

On gynecological examination, a cyst with a size of about 3*1.5 cm was palpated between the right side of the pubic mound and the right groin area, with poor mobility and no tenderness.

Intraoperatively, on the outer side of the right inguinal ring, there was a cyst with a size of about 3*2 cm, which was considered a round ligament cyst. The cyst presented a porous cavity and brownish-yellow tissue with a thicker cyst wall.

Figure 1: The oblique incision for the removal of the inguinal endometriosis arising from the round ligament measuring 3*2 cm, simultaneously a diagnostic laparoscopic found no cysts or endometriotic lesions involved in the intraperitoneal part of the round ligament. Under laparoscopy, the bilateral ovarian chocolate cyst was removed.

Differential diagnosis

Inguinal Hernia

Lymphadenitis

Hydrocele of the Canal Nuck.

Treatment

The patient underwent en bloc excision of the cyst and laparoscopy removal of the bilateral ovarian chocolate cyst. The gynecological assessment was normal.

Histopathology showing islands of the endometrial gland confirmed endometriosis of the right round ligaments of the uterus.

At the same time, under laparoscopy, no cysts or endometriotic lesions were found to be involved in the round ligament of the uterus in the pelvic cavity.

An en bloc resection of the cyst was performed at the pedicle using a 3cm oblique incision in the right inguinal area as well as the resection of the extra-pelvic round ligament. Moreover, the patient underwent laparoscopic bilateral ovarian cystectomy.

Figure 2: On the right inguinal area, a liquid dark area with a range of approximately 58×15×32 mm was observed between the subcutaneous fat layer and muscle layer.

Figure 3: CT: Cystic lesions are seen in the lower right abdomen and groin area (the yellow arrow).

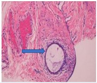
Figure 4: Histopathology showing islands of the endometrial gland confirmed endometriosis of the right round ligaments of the uterus (arrow). H&E 100X.

Outcome and follow-up

The patient was discharged 3 days after surgery. Subsequently, the patient was submitted to a Gnrh-a therapy. The patient had a successful IVF-ET post-operatively 3 months after the first try.

Discussion

Inguinal region endometriosis is part of extra-pelvic endometriosis, a rare condition with a frequency of (0.3-0.6%) among endometriosis patients, with its etiology poorly understood [7]. Inguinal endometriosis can occur due to direct implantation, coelomic metaplasia, or lymphatic spread as a mass or cystic lesion [8]. The extraperitoneal and intraperitoneal parts of the round ligaments, hernia sacs, skins, and scars are cited as the sites of endometrial implants in the groin [9].

Due to the nonspecific signs, such as non-cyclic pain or inconclusive imaging results and limited studies about round ligament endometriosis, its management and diagnoses usually pose a dilemma to most clinicians.

Various studies have shown the occurrence of round ligament endometriosis is uncommon amongst women with endometriosis 6 in 958 patients (0.6%). Moreover, the number of endometrioses arising from the right round ligament (90-94%) is higher than the left side. The right round ligament l endometriosis is often associated with pain and swelling, which is exacerbated during menstruation [10-11]. However, our patient had none of these symptoms.

In the case of our patient, who has had two past laparoscopic surgeries of ovarian cystectomy with histopathology confirming as endometriosis, we deduce that there was a possibility of transplantation from the two previous surgeries or the recurrent endometriosis. Moreover, there was no known history of gonadotropin-releasing hormone, which is a recommendation for the prevention of endometriosis recurrence [11].

Other studies have indicated that up to 40% of round ligament endometriosis can be associated with groin hernia, thus could often be misdiagnosed as groin hernia as well as other extra pelvic-site endometriosis such as Abdominal endometriosis, posing a dilemma to clinicians. The confirmation of an endometriotic tissue is always made with histopathology after surgery. Investigations of choice include the Ultrasound which reveals a nodular hypoechoic lesion [13]. MRI and CT have been known to be used to detect masses of the groin and other locations and to rule out malignancies in several studies [14]. A complete resection of the lesion and the extraperitoneal portion of the round ligament is usually a recommended treatment of choice [15].

In the above case, the patient underwent laparoscopic resection of the bilateral ovarian cysts after the inguinal lesion was excised using the oblique incision, which was monitored by laparoscopy as well.

Conclusion

Due to the similarities in the presentation of the various masses from the Inguinal region such as non-cyclic pelvic pain, a multidisciplinary approach is usually needed to make the right diagnosis and management to ensure a good prognosis of a round ligament endometriosis. Our patient underwent an en bloc excision and a diagnostic concurrently which is the recommended management procedure. Currently, the ultrasound is the first investigation of choice followed by an MRI. Our patient, a 27-year-old with a 2-year history of infertility, was diagnosed with round ligament endometriosis and underwent an Oblique excision of the cyst in combination with laparoscopy to rule out an intraperitoneal involvement. The patient’s prognosis after surgery was good and conceived 3 months post-op with an IVF.

Patient consent

The patient complained of failure to naturally conceive for nine years after laparoscopic ovarian cystectomy with histopathology results confirming endometriosis in 2013 and 2016 separately. She was referred for further consultation and a thirdtime surgery by her IVF specialist. The procedure was carried out based on this account and consent. The institutional review board and ethics committee of Wenzhou Medical University’s First Affiliated Hospital gave their approval to this study. The People’s Republic of China’s legal framework provided protection for the personal information of this patient.

Patient perspective

The patient was actively involved in the decision-making process regarding the benefit-risk assessment of the outcome of the treatment. There was no report of discomfort from the patient after the surgery; recovered well and was discharged as scheduled. Three months post-operatively, patient had a successful In vitro fertilization followed by a safe delivery.

Funding statement

The authors received no financial support for the research, authorship, and or publication of this article.

Credit authorship contribution statement

Portia Cobbinah: Writing original draft. ZhengZheng Shi: http://159.203.176.220/contributor-roles/writing-review-editingt_blank. Francis Oklah: Validation. Lijiao Hou: Supervision.

Conflict of Interest

The authors declare no conflict of interest.

Attestation statement

This case study has not been previously published.

Data sharing statement

Data is available upon request.

References

  1. Parazzini F, Bertulessi C, Pasini A, Rosati M, Di Stefano F, Shonauer S, et al. Determinants of short-term recurrence rate of endometriosis. European Journal of Obstetrics & Gynecology and Reproductive Biology. 2005; 121: 216-9.
  2. Vercellini P, Crosignani PG, Fadini R, Radici E, Belloni C, Sismondi P. A gonadotrophin‐releasing hormone agonist compared with expectant management after conservative surgery for symptomatic endometriosis. BJOG: An International Journal of Obstetrics & Gynaecology. 1999; 106: 672-7.
  3. Kim SJ, Choi SH, Won S, Shim S, Lee N, Kim M, et al. Cumulative recurrence rate and risk factors for recurrent abdominal wall Endometriosis after surgical treatment in a single institution. Yonsei Medical Journal. 2022; 63: 446.
  4. Andres MP, Arcoverde FV, Souza CC, Fernandes LF, Abrao MS, Kho RM. Extra pelvic endometriosis: a systematic review. Journal of minimally invasive gynecology. 2020; 27: 373-89.
  5. Hirata T, Koga K, Osuga Y. Extra‐pelvic endometriosis: a review. Reproductive, medicine and biology. 2020; 19: 323-33.
  6. Hagiwara Y, Hatori M, Moriya T, Terada Y, Yaegashi N, Ehara S, et al. Inguinal endometriosis attaching to the round ligament. Australasian radiology. 2007; 51: 91-4.
  7. Arakawa T, Hirata T, Koga K, Neriishi K, Fukuda S, Ma S, et al. Clinical aspects and management of inguinal endometriosis: A case series of 20 patients. Journal of Obstetrics and Gynaecology, Research. 2019; 45: 2029-36.
  8. Hagiwara Y, Hatori M, Moriya T, Terada Y, Yaegashi N, Ehara S, et al. Inguinal endometriosis attaching to the round ligament. Australasian radiology. 2007; 51: 91-4.
  9. Brzezinski A, Durst AL. Endometriosis presenting as an inguinal hernia. Am J Obstet Gyneol. 1983; 146: 982–3.
  10. Candiani GB, Vercellini P, Fedele L, Vendola N, Carinell S, Scaglione V. Inguinal endometriosis: pathogenetic and clinical implications. Obstetrics & Gynecology. 1991; 78: 191.
  11. Wong WS, Lim CE, Luo X. Inguinal endometriosis: an uncommon differential diagnosis as an inguinal tumour. International Scholarly Research Notices. 2011; 2011: 272159.
  12. Mashfiqul MA, Tan YM, Chintana CW. Endometriosis of the inguinal canal mimicking a hernia. Singapore Med J. 2007; 48: e157-9.
  13. Elemenoglou J, Skopelitou A, Nomikos I. Carcinoma of the inguinal region arising from endometriosis of the round ligament. Report of a case. European Journal of Gynaecological Oncology. 1993; 14: 28-32.
  14. Licheri S, Pisano G, Erdas E, Ledda S, Casu B, Cherchi MV, et al. Endometriosis of the round ligament: description of a clinical case and review of the literature. Hernia. 2005; 9: 294-7.
  15. Fedele L, Bianchi S, Frontino G, Zanconato G, Rubino T. Radical excision of inguinal endometriosis. Obstetrics & Gynecology. 2007; 110: 530-3.

MedDocs Publishers

We always work towards offering the best to you. For any queries, please feel free to get in touch with us. Also you may post your valuable feedback after reading our journals, ebooks and after visiting our conferences.